Ang arthrosis ng kasukasuan ng tuhod (gonartrosis) ay isang degenerative disease kung saan mas payat ang kartilago. Ayon sa mga istatistika, ang bawat ikalimang residente ng planeta ay naghihirap mula sa patolohiya na ito. Isasaalang -alang ng artikulong ito ang pangunahing sanhi ng arthrosis, ang mga sintomas nito sa bawat yugto, pati na rin ang mga pamamaraan ng diagnosis at paggamot.
Sanhi
Araw -araw, ang mga kasukasuan ng tuhod ay nakakaranas ng isang malaking pagkarga kapag naglalakad. Pagkatapos ng lahat, kailangan nilang mapaglabanan ang masa ng buong katawan. Bilang resulta nito, mayroong isang unti -unting pagsusuot ng tisyu ng kartilago, na siyang sanhi ng mga pagbabago sa pathological sa tuhod.
Kasama sa pangkat ng peligro ang mga tao:
- matatanda,
- nagdurusa sa sobrang timbang,
- pagkakaroon ng osteoporosis at metabolic disorder,
- Nakatanggap na ng isang pinsala sa pinagsamang tuhod,
- na kumakatawan sa ilang mga propesyon,
- naghihirap mula sa kakulangan sa microelement,
- Nakikibahagi sa mabibigat na palakasan.

Sa karamihan ng mga taong may edad na 40 taon, ang pagkakaroon ng arthrosis sa pangalawa o huli na yugto ng pag -unlad ay matatagpuan.
Ang pangunahing mga sintomas
Siyempre, ang mga pagbabago sa tisyu ng kartilago ay hindi maaaring maganap nang walang mga sintomas. Sa isang sakit, ang isang tao ay maaaring magreklamo tungkol sa:
- Isang pakiramdam ng kakulangan sa ginhawa sa tuhod pagkatapos ng paggising o pangmatagalan sa isang posisyon sa pag -upo,
- Sakit sa mga binti pagkatapos ng isang mahabang posisyon,
- Isang nasusunog na pandamdam kapag umakyat sa bundok at pataas sa hagdan,
- Kahinaan sa mga binti pagkatapos ng isang bahagyang pagkarga, pati na rin sa pagtatapos ng araw.
- Ang ilang mga pasyente ay nababahala kahit sa gabi, sa panahon ng pagtulog.
Mahalaga! Ang sakit ay hindi nangyayari nang masakit, bubuo ito sa mga nakaraang taon. Ang sakit sa mga unang yugto ay maaaring hindi gaanong mahalaga, ngunit sa paglipas ng panahon mayroong isang patuloy na pagtaas.
Arthrosis ng kasukasuan ng tuhod 1 degree
Sa yugtong ito, ang Gonarthrosis ay nagsisimula pa lamang sa pag -unlad nito, samakatuwid, para sa isang tao, ang proseso ay nagpapatuloy halos asymptomatic. Gayunpaman, makikita pa rin ang ilang mga palatandaan.
Ang isang tao ay madalas na nagsisimulang makaramdam ng pagkapagod sa mga binti, tandaan ang isang bahagyang pagbaba sa kadaliang kumilos ng isa o dalawang kasukasuan ng tuhod. Ang kababalaghan na ito ay lalo na katangian sa umaga, sa mga unang minuto pagkatapos ng paggising.
Bilang isang patakaran, ang diagnosis ng sakit sa yugtong ito ay nangyayari sa pamamagitan ng aksidente, sa panahon ng isang x -ray. Dito, maaaring tandaan ng doktor ang ilang mga iregularidad sa kartilago. Posible ring paliitin ang lumen sa pagitan ng mga bahagi ng kasukasuan.
Arthrosis ng magkasanib na tuhod 2 degree
Ang patolohiya ng kasukasuan ng tuhod ay nagsisimula na lumitaw nang mas malinaw. Ang hitsura ng sakit syndrome ay katangian, na kung saan ay hinimok ng anumang karagdagang pag -load sa kasukasuan.
Sanggunian. Sa yugtong ito, ang sakit ay pumasa nang nakapag -iisa, pagkatapos ng mahabang pahinga.
Bilang karagdagan, sa ikalawang yugto, ang mga sintomas tulad ng:
- Cryst na may ilang mga paggalaw. Maaari itong sundin kapwa sa isa at sa parehong tuhod. Ang langutngot ay maaaring bahagyang kapansin -pansin, ngunit unti -unting nakakakuha ito ng isang magaspang, malakas at napaka natatanging karakter.
- Pagbabawas ng kakayahang ganap na yumuko ang binti sa tuhod. Ang ilang mga tao ay maaari lamang gawin ito sa isang sulok ng 90 degree, pagkatapos ay isang hindi kasiya -siyang sensasyon ang lilitaw, at pinipilit silang huminto.
- Ang ilang mga pasyente na may gonartrosis ng ika -2 yugto ay nagsisimulang magreklamo tungkol sa hitsura ng isang matalim na sakit na nangyayari kapag ang kasukasuan ng tuhod ay baluktot.
- Posible na baguhin ang hugis ng kasukasuan ng tuhod, nagiging mas malawak, swells. Ito ay dahil sa akumulasyon ng pathological fluid.

Kung ang kakulangan sa ginhawa ay napansin sa lugar ng tuhod, dapat kang kumunsulta sa isang doktor upang inireseta niya ang tamang paggamot.
Arthrosis ng kasukasuan ng tuhod 3 degree
- Sa yugtong ito, sa magkasanib na magkasanib, napakalakas na mga pagbabago sa kartilago ng istruktura ay sinusunod. Ang mga paglago na may malaking sukat ay lilitaw dito.
- Ang kurbada ng apektadong binti ay nabanggit. Nakakakuha ito ng isang 0-hugis o hugis-X na liko, na nagiging isang malubhang balakid sa buong buhay ng pasyente. Bilang isang resulta, ang isang tao ay maaaring maging isang taong may kapansanan.
- Ang isang katangian na kababalaghan ng ika -3 yugto ng sakit ay malubhang sakit, na maaaring sundin nang palagi, tumindi pagkatapos ng anuman, kahit na bahagyang pag -load.
- Napansin ng isang tao ang pagiging sensitibo ng magkasanib na mga pagbabago sa panahon. Ngayon na ang bagyo ay papalapit na, ang tuhod ay masakit, ang paghila ng mga sensasyon ay lumitaw sa loob nito.

Sa edad, ang mga kasukasuan ay nagsisimulang tumugon sa mga pagbabago sa panahon at presyon.
Arthrosis ng magkasanib na tuhod 4 degree
Ito ay isang matinding, pangwakas na yugto ng sakit, kung saan ang agwat sa pagitan ng mga buto ay ganap na wala.
Sanggunian. Karamihan sa mga orthopedist ay nag -uugnay sa ika -apat na yugto sa pangatlo. Ito ay dahil sa pagkakapareho ng mga sintomas at pagiging kumplikado ng napapanahong diagnosis.
Dahil ang kawalan ng isang puwang ay sinusunod, ang paggalaw ng kasukasuan ay imposible lamang.
Bilang karagdagan, ang pasyente ay pinahihirapan ng hindi mabata, patuloy na sakit, na kung saan ay pinapaginhawa lamang ng mga malubhang pangpawala ng sakit. Ngunit pagkatapos ng isang oras kung kailan huminto ang pagkilos ng isang tablet o iniksyon, isang hindi kasiya -siyang sintomas ang lilitaw muli.
Diagnostics
Ang isang pagsusuri ng pasyente ay nagsisimula sa kanyang kahilingan para sa tulong sa isang espesyalista. Maaari silang maging isang therapist o orthopedist.
Nakikinig ang doktor sa mga reklamo, nangongolekta ng isang anamnesis, nagsasagawa ng pagsusuri. Una sa lahat, magiging interesado siya sa mga panlabas na pagbabago sa pinagsamang, ang limitasyon ng kadaliang kumilos sa lugar nito.

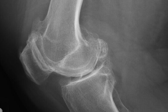
Ang X -ray ay makakatulong na makilala ang mga paglihis sa kartilago.
Kapag nag -iimbestiga, ang pasyente ay nagrereklamo tungkol sa hitsura ng hindi kasiya -siyang sensasyon, at sa isang ningning ng tasa ng tuhod, ang isang langutngot ay naririnig.
Mahalaga! Ang isang diagnosis ay hindi posible pagkatapos ng isang visual na pagsusuri ng doktor, kahit na sa pagkakaroon ng lahat ng mga palatandaan ng sakit. Ang isang komprehensibong pagsusuri lamang ang nagbibigay -daan sa iyo upang magbigay ng isang tumpak na sagot tungkol sa patolohiya na dumadaloy sa tuhod.
Matapos ang pagsusuri, inireseta ng doktor ang radiography ng pasyente. Ito ang pangunahing pamamaraan ng pag -diagnose ng arthrosis ng kasukasuan ng tuhod ng anumang degree.
Binibigyan ng X -ray ang doktor ng isang ideya ng mga pagbabagong nagaganap sa kartilago ng kasukasuan. Gayunpaman, sa ilang mga kaso, ang paunang yugto ay maaaring hindi tinukoy sa larawan.
Kung kinakailangan, ang doktor ay maaaring magreseta ng isang paulit-ulit na daanan ng isang x-ray o computed at magnetic resonance tomography.
Paggamot
Kapag nag -diagnose ng gonarthrosis, dapat magsimula ang agarang paggamot. Makakatulong ito na ihinto ang pag -unlad ng patolohiya, na pumipigil sa maraming mga komplikasyon.
Ang Therapy ng sakit ay humahabol ng maraming mga layunin nang sabay -sabay. Lalo na:
- pag -aalis ng sakit syndrome,
- pagbaba sa kalubhaan ng iba pang mga sintomas,
- Ang maximum na posibleng pagpapanumbalik ng apektadong kartilago at ligament ng pinagsamang,
- Isang pagtaas sa kadaliang kumilos ng paa.
Ang paggamot ng sakit ay may kasamang mga pamamaraan tulad ng:
- Drug therapy,
- Massage, osteopathy, manu -manong therapy,
- Interbensyon ng kirurhiko,
- medikal at pag -iwas sa pisikal na edukasyon,
- Physiotherapy.
Pangangalaga sa droga
Sanggunian. Ang therapy sa droga ay ang pangunahing paraan ng pagpapagamot ng sakit. Gayunpaman, ito ay pinaka -matagumpay kapag pinagsama sa iba pang mga pamamaraan.
Ang mga gamot na ginamit para sa paggamot ng gonarthrosis ay kasama ang:
- Nonsteroidal anti -inflammatory na gamot - mapawi ang pasyente mula sa sakit, mapawi ang pamamaga. Ang mga gamot na ito ay mga sintomas na ahente nang hindi nakakaapekto sa sanhi ng sakit. Nakikipaglaban lamang sila sa mga pagpapakita nito, na nagdadala ng pansamantalang kaluwagan.
- Chondroprotectors - Ibalik ang tela ng kartilago. Gayunpaman, ang epekto ay nagiging kapansin -pansin nang hindi kaagad. Ang mga gamot ay may pinagsama -samang (naipon) na mga katangian, samakatuwid, ang katawan ay nangangailangan ng oras para sa kanilang buong epekto.
- Mga gamot na hormonal. Inireseta ang mga ito, bilang isang panuntunan, na may mga advanced na yugto ng sakit. Ang mga pondong ito ay maaaring mabilis na mapawi ang pamamaga at pamamaga ng mga tisyu sa paligid ng kasukasuan. Ang kawalan ng klase ng mga gamot na ito ay ang sistematikong epekto sa katawan, kung saan posible ang maraming hindi kanais -nais na mga salungat na reaksyon. Inireseta lamang ang mga ito sa isang kurso sa oras, sa panahon ng isang pagpalala ng proseso.
- Mga panlabas na gamot, idinisenyo upang mapawi ang sakit. Inilabas sa anyo ng pamahid, cream.
- Hyaluronic acid. Ito ay isang bagong solusyon sa paggamot ng gonartrosis. Ito ay isang intra -articular na pagpapakilala ng isang paraan na nagpapalusog sa kasukasuan. Ito ay may isang medyo mataas na kahusayan. Gayunpaman, ang pamamaraan ay nailalarawan sa pamamagitan ng mga pagkukulang tulad ng: ang posibilidad na gamitin lamang sa mga paunang yugto ng sakit at ang mataas na gastos ng gamot.
Mahalaga! Ang pagpapakilala ng mga gamot sa magkasanib na agwat ay pinahihintulutan nang hindi hihigit sa 1 oras sa 7-10 araw.
Masahe
Ang masahe, pati na rin ang manu -manong at osteopathic na paggamot ay naglalayong:
- Pag -aalis ng sakit,
- pagtagumpayan ang higpit ng mga paggalaw sa tuhod,
- pagpapabuti ng suplay ng dugo sa site ng kartilago,
- Nagbibigay ng mga nutrisyon at oxygen sa lugar ng pamamaga.
Sanggunian. Ang masahe at mga katulad na pamamaraan ay dapat isagawa lamang ng isang tao na may espesyal na edukasyon. Kung hindi man, maaari mong makapinsala at magpalala ng kondisyon ng kasukasuan.
Interbensyon ng kirurhiko
Ito ay isang matinding panukala sa paggamot ng arthrosis, kapag ang sakit ay lubos na napabayaan at ang iba pang mga pamamaraan ng therapy ay walang kapangyarihan. Kadalasan, ginagamit ang mga endoprosthetics, kung saan ang apektadong kasukasuan ay pinalitan ng isang implant.
Ang mga prosthetics ay maaaring maging ng dalawang uri:
- Buong - ang buong kasukasuan ay pinalitan,
- Bahagyang - tanging ang pinaka -pagod na bahagi ng articular joint ay napapailalim sa kapalit.
Ang mga kontraindikasyon sa prosthetics ay:
- talamak na purulent impeksyon;
- Neuromuscular disorder;
- mga pathologies ng ugat;
- Ang isang bilang ng mga sakit sa cardiovascular.
Ang isa pang pagpipilian ay ang pagwawasto ng osteotomy. Sa pamamaraang ito, ang isang plato ay ipinasok sa magkasanib na, binabawasan ang presyon sa apektadong lugar ng tuhod.
Ehersisyo therapy
Ito ay isang regular at tamang pagpapatupad ng isang bilang ng mga pisikal na pagsasanay na naglalayong palakasin ang magkasanib at pagpapanumbalik ng kadaliang kumilos nito.
Ang pamamaraang ito ay maaaring isagawa nang nakapag -iisa sa bahay, na nakipag -ugnay dati sa isang espesyalista para sa payo.
Pag -iwas
Ang pagsunod sa mga simpleng patakaran ay maiiwasan ang paglitaw o pagpalala ng pagkawasak ng kartilago. Para dito kailangan mo:
- Sundin ang diyeta. Ito ay mag -aambag sa kontrol ng timbang ng katawan, magbibigay ng katawan ng lahat ng kinakailangang mga bitamina at mineral.
- Sumunod sa ilang mga sports, inabandunang iba. Ang katotohanan ay na may gonarthrosis, ang labis na naglo -load sa tuhod ay labis na hindi kanais -nais. Para sa kadahilanang ito, ang pagtakbo at paglukso ay mas mahusay na palitan ng pagsakay sa bisikleta, paglangoy o aquaerobik.
- Regular na magsagawa ng mga pagsasanay sa therapeutic.
- Magsuot ng komportable at orthopedically tamang sapatos. Hindi katanggap -tanggap na magsuot ng mga stud at mataas na takong, isang flat solong, na nagbibigay ng kagustuhan sa mga sapatos na may maliit na sakong.
Ang arthrosis ng kasukasuan ng tuhod ay isang medyo pangkaraniwang sakit na maaaring hindi mapansin sa loob ng mahabang panahon. Sa kabila ng simula ng asymptomatic, ang gonarthrosis ay maaaring humantong sa mga malubhang komplikasyon, hanggang sa kapansanan. Samakatuwid, napakahalaga na magsagawa ng mga diagnostic sa oras at simulan ang kinakailangang paggamot.

















































